肩人工関節、人工関節、50肩、腱板断裂、反復性肩関節脱臼、野球肩、スポーツ障害肩、肩の痛み、肩の病気、整形外科医「森大祐(もりだいすけ)」のWebSiteです。

肩の病気

HOME | 肩の病気 | ・コンタクトスポーツ選手へ

コンタクトスポーツ選手への肩脱臼制動術


はじめに

反復性肩関節脱臼に対する手術は医学が発展し、内視鏡での手術が主流になっています。しかし、コンタクトスポーツをする選手では鏡視下バンカート手術をおこなっても、術後競技中の肩への強い衝撃や、不慮のアクシデントにより再脱臼や再亜脱臼をすることがしばしば認められます。コンタクトスポーツ選手への手術は再考されております。
 

コンタクトスポーツとは次のようなスポーツになります。

・ラグビー​
・アメフト​
・バスケット​
・サッカー​
・ハンドボール​
・柔道など
 

コンタクトスポーツの方の理想の手術

・手術後、自分の行う競技を、肩がはずれる怖さがなく思いっきり行うことができる​
・筋トレで肩の痛みが走らない​
・手術後早く復帰できる​
・肩の動きがいい

具体的な手術の説明の前に、骨の構造、肩の靭帯についてお伝えします。

肩関節を構成する骨

肩関節を構成する骨

右肩のイラスト​
関節窩を正面からみて付着している靭帯をつけたイラストです

右肩のイラスト​

繰り返す肩の脱臼の肩の中はどうなっているの?​
関節窩骨欠損とバンカート損傷が伴います

右肩のイラスト​

鏡視下バンカート修復術​

鏡視下バンカート修復術​

糸つきのビスをもちいてバンカート修復をおこないます。つまり上関節窩上腕靭帯、中関節窩上腕靭帯、下関節窩上腕靭帯
と関節唇を関節窩にくっつけます。

なぜ鏡視下Bankart修復術がコンタクトアスリートが
再脱臼することがみられるのか?

鏡視下バンカート修復術​

つまり

鏡視下Bankart修復術で肩を脱臼しないようにしても、その強度は激しい衝突(タックルなど)に耐えうるほどの強度にまでならないということです。
 
そこでコンタクトアスリートの選手におこなわれるのがLararjet(らたるじぇ)法かBristow法(ブリストウ法)と呼ばれる烏口突起移行術が一般的におこなわれます。

烏口突起移行術

烏口突起移行術

上腕二頭筋腱短頭と烏口腕筋の複合腱である共同腱は烏口突起という部分に付着しています。

共同筋腱​
(上腕二頭筋腱短頭と烏口腕筋の複合腱)

共同筋腱​

烏口突起移行術とは、共同腱のついた烏口突起をボルト(スクリュー)で関節窩に固定します。

烏口突起移行術​

烏口突起移行術​

しかし、この手術には合併症がある程度の確率で伴います。

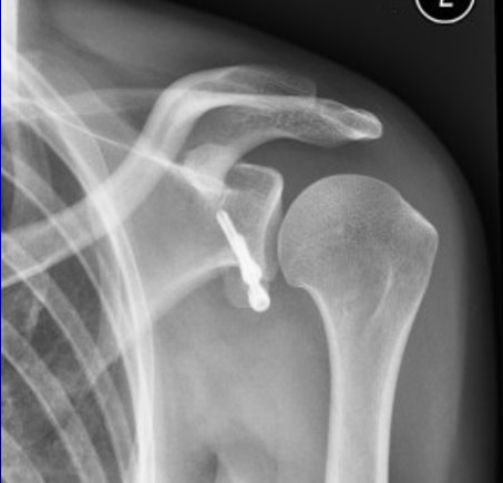
Lararjet(らたるじぇ)法の手術後レントゲンです​

Lararjet(らたるじぇ)法の手術後レントゲン

烏口突起移行術の合併症(好ましくない事象)​

烏口突起移行術の合併症

ここで私がしている烏口突起共同腱複合体移行術という術式を紹介します。

烏口突起共同筋腱移行術​

烏口突起共同筋腱移行術​

烏口突起共同筋腱移行術​
詳しく記述したイラストです

烏口突起共同筋腱移行術​

烏口突起の先端1cmがついた共同腱に強い糸をかけます。肩甲骨関節窩の関節面より下にトンネルをあけます。共同腱にかけた糸をそのトンネルの中にとうします。トンネルをとおる糸は金属製ボタンにかけて糸をむすびます。烏口突起先端が肩甲骨内にはいります。共同腱が骨頭を制動します。また関節唇も同時に修復します。

イメージとしては

従来のBankart修復術と共同腱による補強作用があわさった形になります。従来のBankart修復術よりは骨頭制動効果は間違いなく高まります。

烏口突起共同筋腱移行術の利点

・スクリューを使用しない (将来的に抜釘が必要ない)​
・烏口肩峰靭帯を切除しない​
・解剖学的破綻を最小限にする(正常組織をより保っておく)

手術後は以下のようなスケジュールになります

術後スケジュール

・3週間から4週間の装具固定​
・術後から愛護的にリハビリを開始します。​
・術後2から3か月で筋力トレーニング​
・復帰は筋力回復次第ですが手術後4か月をめざします。

代表的な選手を紹介します

・ラグビー選手で19歳のときに当院に受診。5回の脱臼歴がありタックルなどはこわくてできなかった。完治を目的に手術をうける。

経過

・手術後3か月で筋力トレーニングをおこなう​
・手術後4か月でタックルなどの練習を開始する​
・手術後6か月で、ラグビーの試合にフォワードとして復帰する。
 
この方の術後のCTをみてください。

CT像

CT像

このCT像をみてください。脱臼をくりかえすと関節窩の前方の部分(赤色の部分)がかけてしまいます。
術後2年のCTでは欠損部のところが骨ができてきているのがわかります(黄色の部分)。
 
またこの方法は細かな術式は我々の施設の方法と異なりますが諸外国ではいくつかの施設で報告されています。

他の施設での報告もあります

他の施設

我々も国内の学会では臨床成績を報告させていただいております。
※第49回肩関節学会で発表しております。

別の代表的な選手を紹介します。 

この動画は手術後4か月での肩の動きになります。

また上でお話したような手術後の検査CT所見をお示しします。

手術前

手術前

手術直後

手術直後

手術後4ヶ月

手術後4ヶ月

このように
男性の多くは4か月くらいで動きは良好になります。
筋肉トレーニングは個々の筋力によりますが手術後3ヶ月くらいからおこなわれます。

手術後4ヶ月の様子です。彼らは某大学の柔道部の2人で同級生になります。1週間違いで同じ右側のこの手術をうけました。

CT画像比較

この方は手術後1年経過しました。動きも良好で、上で示したかたと同様に移植した烏口突起はずれもなく癒合しています。癒合していなければ肩を動かすなかで転位しているはずなので。

まとめ

コンタクトスポーツ選手の選手復帰を可能な限りはやめる工夫をほどこした手術をお示ししました。
烏口突起複合体移行術という方法です。
コンタクトスポーツ選手の方にはぜひ、烏口突起移行術をふくめていくつかの手術があることを知っておいてください。

2023/1/16

関節唇形成術と烏口突起移行術の比較

ここでは反復性肩関節脱臼に対して日本でよく行われている鏡視下バンカート修復術(http://shoulder-doctor.net/ope/ope_1.html)と烏口突起移行術(http://shoulder-doctor.net/sick/sick_3-2.html)の長所・短所をのべていきます。ただし小生は烏口突起共同腱移行術をおこなっております。文献に基づいたイベントの発生頻度は報告者により異なることをご了承ください。 

比較

この違いがあるといってもどちらの方法も確立されてきた手術であります。肩関節の専門医はどちらの手術にも造詣が深いですのでぜひ質問してください。

2023/3/8