-2 Preventive measures of shoulder dislocation for contact sports players
Preface:
This is to reconsider potential surgical procedures other than arthroscopic surgery which is one of the major options for those who suffer from recurrent shoulder dislocation. Among the contact sports players, some players experience recurrent shoulder dislocation after the surgery, e.g. Bankart lesion procedure, as they go back to the same sports, and they injure their shoulders during the games.
Contact sports:
Rugby, American football, Basketball, Football, Handball, Judo…
Ideal outcomes for the contact sports player:
Play the same sports as before without any anxiety or fear
No pain during the work out exercises
Return to the same sports in a short period
Gain improved shoulder motion
Please see the shoulder anatomy

Right shoulder (front view of the glenoid cavity)

What is happening in the dislocated shoulder joint?
There will be a higher risk of glenoid bone loss and Bankart lesion.

Recurrent dislocation may cause glenoid bone loss (bone loss in glenoid cavity) in the place circled in red.
A glenoid labrum tear in the anterior joint is called a Bankart lesion. One of the causes is that Superior/Middle/Inferior/glenohumeral ligaments tear off from the glenoid cavity, and it may result in shoulder instability and dislocation.
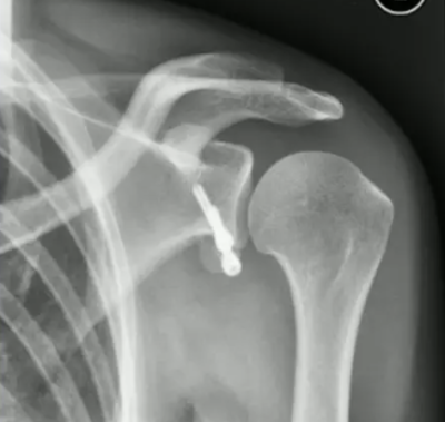
Arthroscopic Bankart repair

The procedure uses an anchor equipped with code, designed to lock into the bony structure. It will stitch the Superior/Middle/Inferior/glenohumeral ligaments and Glenoid labrum to the Glenoid cavity.
Why does Bankart repair sometimes fail to prevent recurrent dislocations?

Arthroscopic Bankart repair may not be able to make the structure strong enough to bear the external force (e.g. tackles).
Therefore, Coracoid transfer procedures (Lararjet and Bristow procedures) are commonly performed for contact sports players.

Coracoid process is a small hook-like structure which functions connected with multiple ligaments. The short head of biceps brachii and the coracobrachialis muscle attach to the coracoid process.
Joint tendons(Coracobrachialis muscle and the short head of biceps brachii)

In both Latarjet procedure and Bristow procedure, it will cut the edge of coracoid process and resituate it to the glenoid edge with using screws, once a hole/tunnel is made.

These procedures sometimes cause complications.
X-ray of Latarjet procedure

Complications

I would like to introduce a new procedure called Coracoid tip-conjoined tendon complex transfer

★Joint tendons

Details:
Tie a medical cord around the joint tendons at 1 cm away from coracoid process.
Make a tunnel in the bottom part of the glenoid cavity of scapula.
Put the medical cord through the tunnel and tie it with metal buttons.
The edge of the coracoid process enters the scapula, and the joint ligaments will control the head of humerus. It can also repair the glenoid labrum.
This procedure can be described as a combination of Bankart repair and the ★joint ligaments procedure which will reinforce the strength of the joint, and control better a motion of the head of humerus.
Advantages of this new procedure:
No use of screw, no screw removal
Conserve the coracoacromial ligaments
Minimal damage to the anatomy
Postoperative schedule:
Use of shoulder orthosis for 3 to 4 weeks
Physical therapies
Strengthening exercises 2 months after the surgery
Return to sports 4 months after the surgery, depending upon the muscle strength
He was a rugby player who came to my clinic when he was 19 years old. He had shoulder dislocations 5 times, that made him be so afraid of contacting and tackling others in the game.
Postoperative course:
Started muscle strengthening exercises 3 months later
Practiced tackling 4 months later
Return to the game as a forward 6 months later
CT Image of this patient

Left - Before the surgery: Glenoid cavity partially lost its bony structure circled in red due to recurrent dislocation
Middle - Right after the surgery
Right – 2 years later. Remarkable to see the place circled in yellow, bony structure has been regenerated where it had been missing.
This procedure is globally performed in several institutes. Here is the example.

We have also made a presentation titled ★ ”Procedures for the shoulder injuries among contact sports players” at the 49th Annual Meeting of the Japan Shoulder Society.
Here is another case for the same injury.
This video is taken 4 months after the surgery.
Here are CT images of this patient.



In case of male patient, he is expected to start work out exercises 3 months after the surgery, and it takes about 4 months to fully return to sports. However, the postoperative schedule depends on the strength which each patient possesses.
They are Judo players in the same university. They had the same surgery within a week.

This patient had the surgery a year ago. He keeps a good shoulder motion and the coracoid process is well healed without any dislocations.
Summary:
I have presented a new procedure called coracoid tip-conjoined tendon complex transfer to let the sports players return to sports as soon as possible.
These procedures might be the one which can improve your conditions.
Advantages and disadvantages of Labrum repair and Lararjet and Bristow procedures
The table shows some advantages and disadvantages of each procedure. Please be reminded that the ratio of events may differ in various literatures.
Arthroscopic Bankart repair | Open/Arthroscopic Coracoid transfer procedure (Latarjet and Bristow procedures | |
Advantage | Anatomically repaired Good shoulder motion |
Low recurrent dislocation ratio Better stability |
Disadvantage | Recurrent dislocation(5-30%) Experience of shoulder instability after the surgery |
Nerve injuries (2-30%) Screw removal Pain Numb, |
These procedures are commonly performed and approved to be potential treatments. Please do not hesitate to talk to your doctor when you have questions or concerns.
Shoulder Diseases

We provide explanations for various shoulder conditions. Please use this as a general guide to determine which condition may apply to you.
- Common shoulder injuries by age group
- To those who neither have frozen shoulder nor rotator cuff tears
- Throwing Shoulder Disorder
- Rotator Cuff Tears and Rotator Cuff Injuries
- Recurrent Shoulder Dislocation
- Frozen Shoulder
- Shoulder Dislocation
- Acromioclavicular Joint Dislocation
- Chronic Acromioclavicular Joint Dislocation
- Frozen Shoulder
- Calcific Tendinitis of the Rotator Cuff
- Primary Degenerative Shoulder Arthritis
- Rotator Cuff Tear-related Degenerative Shoulder Arthritis
- Non-traumatic Shoulder Instability
- Biceps Tendon Injuries
- Surgical Trends for Throwing Shoulder in Baseball Players